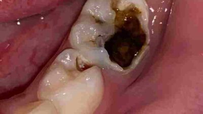
INISUMEDANG.COM – Gigi sensitif dan gigi berlubang adalah dua masalah umum yang dapat memengaruhi kesehatan gigi dan mulut Anda. Meskipun…
Gigi berlubang
Tidak Ada Postingan Lagi.
Tidak ada lagi halaman untuk dimuat.
INISUMEDANG.COM – Gigi sensitif dan gigi berlubang adalah dua masalah umum yang dapat memengaruhi kesehatan gigi dan mulut Anda. Meskipun…
Tidak Ada Postingan Lagi.
Tidak ada lagi halaman untuk dimuat.